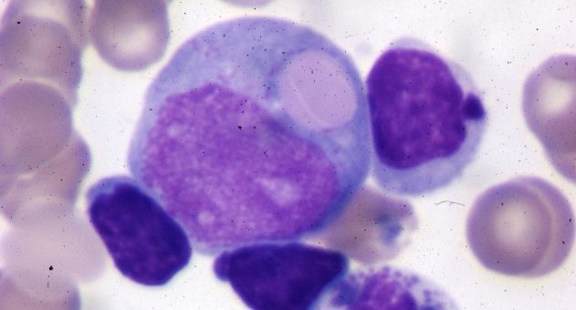
Chediak H Blood Smear 2
Please click to enlarge.
Note what signs you see.
I (W. Wertelecki, M.D.) see signs of C-H syndrome described in 8 other already posted images and 6 additional images in this patient’s gallery.
I (W. Wertelecki, M.D.) see signs of C-H syndrome described in 8 other already posted images and 6 additional images in this patient’s gallery.
Free access to:
Unlimited access to webinars and all contents of Clinical Eye Openers (CEO) requires registration. Requests for waivers of fees are considered.
Certifications of Participation (CoP) and a Diploma of Proficiency (DoP) are granted under the following conditions – participants seeking a CoP must view the webinar plus all supplements.
To be granted a DoP concerning a particular series of webinars, the participant must have all the relevant CoPs and earn at least 70% of the score of a proficiency test.
A series of “Basic Elements of Teratology/Dysmorphology in Clinical Practice” webinars describe the principles, terminology, visual elements, and other basic components to prepare clinicians to better grasp clinically oriented webinars. The emphasis is on visual and terminology elements. In other words, the BASIC DESCRIPTIVE WEBINARS precede “TOPOGRAPHIC” WEBINARS and PRACTICUMS stressing combinations of informative visual clinical signs, signals, syndromes, etc. Webinars often are expanded by supplements and include links to further sources of information (see Table of Contents).