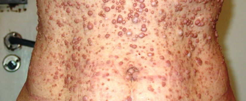
Skin Neurofibromas
Please click to enlarge.
Note what signs you see.
I (N.X., M.D.) see numerous fleshy some pedunculated neurofibromas (originally described as fibromas and later stress was on the presence of Schwan cells). The preferred location of neurofibromas is the trunk. The not preferred location is the face – see the face of another patient who has multiple neurofibromas elsewhere.
PERSPECTIVE: Is this a lady? Are there different degrees of manifestations of NF1 in mature men and women? Please investigate yourself, these are good questions. What I will tell you positively is that puberty and pregnancy precipitate or accelerate the number of skin café-au-lait spots and skin neurofibromas and other manifestations.
Please also see the gallery of NF1 signs.




